lunes, 23 de septiembre de 2013

MAMA

Presentaciones clínicas de la enfermedad mamaria: 
Los síntomas más comunes por los cuales las mujeres consultan son: dolor, masa palpable, nodularidad (sin una masa definida) o exudado en el pezón. 

TRASTORNOS INFLAMATORIOS
Son infrecuentes se da en menos del 1% de las mujeres con síntomas mamarios. 
Las pacientes se suelen presentar con una mama dolorosa tumefacta y eritematosa. 

MASTITIS AGUDA:
Se da durante el primer mes de lactancia, cuando la mama es vulnerable a la infección bacteriana por el desarrollo de grietas y fisuras en los pezones. Los agentes causales son estafilococo aureus y con menos frecuencia estreptococo. 
- Morfología: Inflamación aguda que puede progresar a la formación de uno o múltiples abscesos. El tejido mamario afectado está infiltrado por neutrófilos y sufre necrosis. 

MASTITIS PERIDUCTAL/ ABSCESO SUBAEROLAR RECIDIVANTE/ METAPLASIA ESCAMOSA DE LOS CONDUCTOS GALACTÓFOROS/ EMFERMEDAD DE ZUZCA:
Masa subaerolar eritematosa dolorosa que desde el punto de vista clínico parace ser un proceso infeccioso. En más del 90% de los casos los individuos son fumadores. No guarda relación con la lactancia. 
- Morfología: Metaplasia escamosa queratinizante de los conductos del pezón. La queratina desprendida de esas células tapona el sistema ductal, con dilatación y rotura final del conducto. Se desarrolla una intensa respuesta inflamatoria granulomatosa crónica cuando la queratina pasa a los tejidos periductales adyacentes. 

ECTASIA DUCTAL MAMARIA:
Se da entre los 50 y 60 años en mujeres multíparas. 
Masa periaerolar palpable poco definida, secreción blanca espesa por el pezón y retracción cutánea. 
- Morfología: Dilatación de los conductos, espesamiento de las secreciones mamarias, reacción granulomatosa crónica periductal e intersticial. Los conductos dilatados están llenos de detritos granulosos que contienen infiltrados densos de linfocitos y macrófagos y un número variable de células plsmáticas. 

NECROSIS GRASA:
Masa palpable indolora, engrosamiento o retracción de la piel, densidad mamográfica o calcificaciones mamográficas. 
- Morfología: Las lesiones agudas pueden ser hemorrágicas y contener áreas centrales de necrosis grasa por licuefacción. En las lesiones subagudas las áreas de necrosis grasa adoptan el aspecto de nódulos blancos grisáceos, firmes y mal definidos. La región central con células grasas necróticas se asocia al principio a un infiltrado neutrófilo intenso mezclado con macrófagos. En los días siguientes el área lesionada se rodea por fibroblastos en proliferación asociados a vasos nuevos y células inflamatorias crónicas. Más adelante aparecen células gigantes, calcificaciones y hemosiderina, y el foco acaba siendo sustituido por tejido cicatricial o rodeado y encapsulado por tejido fibroso. 

MASTOPATÍA LINFOCÍTICA (LOBULITIS LINFOCÍTICA ESCLEROSANTE):
Una o múltiples masas palpables duras, pueden ser bilaterales. 
Al microscopio muestran estroma colagenizado alrededor de conductos y lobulillos atróficos. La membrana basal epitelial está engrosada con frecuencia. Un infiltrado linfocítico prominente rodea el epitelio y los vasos sanguíneos pequeños. 
Es más común en mujeres con DBT tipo I o enfermedad tiroidea autoinmunitaria. 

MASTITIS GRANULOMATOSA:
En menos del 1% de los casos. Son más comunes en pacientes inmunocomprometidos o adyacentes a cuerpos extraños como las prótesis de mama o las perforaciones ornmentales de pezones.
- Causas:
1) Enfermedades granulomatosas sistémicas.
2) Infecciones granulomatosas causadas por micobacterias u hongos. 
La inflamación granulomatosa sólo se limita a los lobulillos. 

LESIONES EPITELIALES BENIGNAS
Los cambios no proliferativos no aumentan el riesgo de cáncer. La enfermedad proliferativa se asocia a un aumento ligero del riesgo, mientras que la enfermedad proliferativa con atipía confiere un aumento moderado del riesgo. 

ALTERACIONES MAMARIAS NO PROLIFERATIVAS (ALTERACIONES FIBROQUÍSTICAS):
Nódulos a la palpación. 
- Morfología:
1) Quistes: dilatación y estiramiento de los lobulillos y pueden confluir para formar quistes mayores. Están revestidos por epitelio atrófico plano o por células apócrinas metaplásicas. Las calcificaciones son comunes y se pueden detectar en la mamografía. Los quistes originan alarma cuando son solitarios y firmes a la palpación. 
2) Fibrosis: Los quistes se rompen con frecuencia y liberan el material segregado hacia el estroma adyacente. La inflamación crónica y la fibrosis resultante contribuyen a la firmeza palpable de la mama. 
3) Adenosis: Aumento del número de acinos por lobulilo. Los acinos con frecuencia están agrandados, tapizados por células cilíndricas que pueden parecer benignas o mostrar características atípicas. 

ENFERMEDAD MAMARIA PROLIFERATIVA SIN ATIPIA:
Es típica la presencia de más de una lesión muchas veces en asociación con camios mamarios no proliferativos. 
- Morfología: 
1) Hiperplasia epitelial: Presencia de dos o más capas celulares, que llenan y distienden los conductos y los lobulillos. 
2) Adenosis esclerosante: El número de acinos está aumentado al menos al doble en comparación con los lobulillos afectados. Puede ocasionar una masa palpable. 
3) Lesión esclerosante compleja: Posee componentes de adenosis esclerosante, papilomas e hiperplasia. Existe un nido central de glándulas atrapadas en un estroma hialinizado con proyecciones radiales largas en el estroma. 
4) Papilomas: Múltiples ejes fibrovasculares ramificados, cada uno de ellos con un área central de tejido conjuntivo tapizado por células mioepiteliales y luminales. El crecimiento se produce dentro de un conducto dilatado.

Más del 80% de los papilomas grandes producen telorrea. Pueden experimentar infarto, probablemente por torsión del tallo, lo que origina una telorrea sanguinolenta. Los pequeños se detectan como masas palpables pequeñas o como densidades o calcificaciones mamográficas. 

ENFERMEDAD MAMARIA PROLIFERATIVA CON ATIPIA:
Incluye la hiperplasia ductal atípica, presente en el 5-17% de biopsias mamarias por calficicaciones; y la hiperplasia lobulillar atípica representa un hallazgo incidental y se encuentra en menos del 5% de las muestras realizadas por cualquier razón.
- Morfología: 
1) Hiperplasia ductal atípica: Semejanza histológica con el carcinoma ductal in situ (CDIS). Proliferación relativamente monomorfa de células dispuestas de forma regular, a veces con espacios cribiformes. 
2) Hiperplasia lobulillar atípica: Proliferación de células idénticas a las del carcinoma lobulillar in situ (CLIS), pero las células no llenan ni distienden más del 50% de los acinos dentro de un lobulillo. 

CARCINOMA DE MAMA
Es la neoplasia maligna no cutánea más común en mujeres. 

- Factores de riesgo:
  • Edad: pico a los 75-80 años.
  • Edad de la menarquía: Antes de los 11 años aumento del riesgo del 20%.
  • Edad en el momento del primer parto tras un embarazo a término: antes de los 20 años. 
  • Familiares en primer grado con cáncer de mama
  • Hiperplasia atípica
  • Raza/etnia: las mujeres blancas no hispanas tienen la taza más alta de cáncer de mama. 
  • Exposición a estrógenos: El tratamiento hormonal sustitutorio aumenta el riesgo entre 1,2 y 1,7 veces. La mayoría de los cánceres en exceso son RE positivos. No se ha demostrado de forma convincente que los ACO modifiquen el riesgo de cáncer de mama. 
  • Densidad mamaria: densidad radiológica mamaria alta es un factor de riesgo importante para el desarrollo de cáncer. 
  • Exposición a la radiación
  • Carcinoma de la mama contraletaral o del endometrio
  • Influencia geográfica
  • Dieta: el aumento moderado o intenso de alcohol aumenta el riesgo.
  • Obesidad: aumenta el riesgo en mujeres obesas posmenopáusicas, por síntesis de estrógenos en depósitos grasos. 
  • Ejercicio: efecto protector.
  • Lactancia: Cuanto más tiempo crían al pecho las mujeres, mayor la reducción del riesgo.
  • Toxinas medioambientales
  • Tabaco
CARCINOMA INTRADUCTAL (IN SITU):

Representa de 5 a 10 % de todos los canceres de mama, el tumor esta contenido en el sistema de los conductos y la membrana basal del conducto esta intacta.

MORFOLOGIA:

MACROSCOPICA: 
Conductos presentan paredes gruesas, dilatadas y en algunos casos llenas de material necrotico.

MICROSCOPICAMENTE:
Proliferacion de celulas epiteliales y pleomorfismo celular notable, con nucleos hipercromaticos y figuras mitoticas.
En la luz del ducto hay desechos necroticos e histiocitos.Presencia de microcalcificaciones en la luz de los conductos.





CARCINOMA DUCTAL INFILTRANTE:

Es el responsable de la mayoria de los carcinomas de mama, el tumor se origina en el epitelio del conducto (Adenocarcinoma), este tumor produce una reaccion desmoplasica intensa con abundante tejido conectivo.

MORFOLOGIA

MACROSCOPICA:Nodulo firme, granulomatoso y retraido.




MICROSCOPICA:
 Células tumorales con tamaño variable, son pleomorficas y presentan muchos nucleolos prominentes.
Puede haber o no necrosis.
Forman estructuras glandulares.


CARCINOMA MEDULAR: 
Es el responsable de casi 5% de todos los carcinomas de mama, se cree que esta lesión se comporta de manera menos agresiva que el carcinoma ductal infiltrante y con menos positividad de ganflios linfaticos.

 MORFOLOGIA:

 MACROSCOPICA:
Lesión bien circinscrita con una superficie de corte humeda, gris y homogenea.
Presencia de areas hemorragicas focales. 

MICROSCOPICA:
 Células grandes pleomorficas rodeadas por una intensa infiltración linfoplasmocitica.



CARCINOMA MUCINOSO:
 Es una forma rara de cancer y se asocia con un pronostico mejor que el cancer ductal comun, quiza debido a una tendencia menor a metastatizar.

MORFOLOGIA:

MACROSCOPÍA
Tumor blando, bien circunscrito brillante
Aspecto gelatinoso.
MICROSCOPÍA:
Grandes lesiones de mucina separadas por bandas de tejido conectivo.
En la mucina se pueden ver celulas tumorales en suspension.

CARCINOMA PAPILAR:
 Es una forma rara de cancer de mama, que puede ser dificil de diferenciar del papiloma benigno, el tumor puede aparecer al principio como un nodulo, o la paciente afectada puede quejarse de descarga hemorragica del pezon.

MORFOLOGIA

MACROSCOPICA: 
Lesion confinada dentro de la pared de un conducto, se presenta como una masa rojiza, polipide y friable.

MICROSCOPICA:
Grados variables de pleomorfismo, mitosis y necrosis.
Ausencia de células mioepiteliales.

CARCINOMA LOBULILLAR (IN SITU)

Los tumores son bilaterales en 2% de los casos y con frecuencia son multifocales, no forman una masa tumoral palpable, su descubrimiento normalmente es de manera incidental.

MORFOLOGIA

MICROSCOPICA:
 Proliferacion neoplasica de celulas epiteliales monomorfas en el interior de los conductos terminales de acinos y mamas.
Lesión limitada a los conductos que se presentan distendidos y llenos de celulas uniformes con citoplasma abundante.
Membrana basal de cada acino intacta.



CARCINOMA LOBULILLAR INFILTRANTE:

MORFOLOGIA

MICROSCOPICA:
Células pequeñas, que infiltran el estroma en forma individual.
Presentan una disposición lineal (fila india).




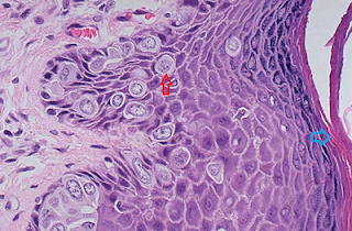
ENFERMEDAD DE PAGET:
Es una lesión eccematosa, excoriada, que afecta el pezón y la piel adyacente, la lesión se acompaña en casi todos los casos de carcinoma ductal.  afecta a la epidermis del pezón y/o la areola a partir de este carcinoma intraductal subyacente de los conductos galactóforos por lo que es ejemplo de metástasis epidermotropas.

MORFOLOGIA:

MACROSCOPICA:
Hiperqueratosis de la piel.
Piel de aspecto rugoso y descamada y con frecuencia ulcerada.


MICROSCOPICA:
Celulas con nucleos prominentes y citoplasma eosinofilo abundante positivo al coloreado con PAS.
Núcleos atipicos.
Nucleolos prominentes.





martes, 17 de septiembre de 2013

AP. GENITAL FEMENINO

CUELLO UTERINO

ANOMALÍAS CONGÉNITAS

-         Hipoplasia
-         Cuello uterino doble
-         Estenosis y atresia del orificio cervical


CERVICITIS
Inflamación del cuello uterino.

Predisponentes: multiparidad, coito, ingesta prolongada de ATB, ingesta de ACO, falta de estrógenos.

Se pueden dividir en:
-         Específicas: son de transmisión sexual y producen cambios morfológicos y particulares. Son asintomáticas. Ej: sífilis, gonorrea, herpes, etc.
-         Inespecíficas: producidas por bacterias comensales de la vagina que normalmente están en baja población: estreptococo, estafilococo, E. Coli, y producen cuadros asintomáticos.

Según la morfología también pueden dividirse en:
-         Cervicitis aguda: comienza en exocérvix, hay edema del estroma con infiltrado inflamatorio de PMN, hay erosiones en la mucosa con desprendimientos focales de epitelio. Puede extenderse al endocérvix.
-         Cervicitis crónica: es más frecuente que la aguda. El infiltrado inflamatorio es de mononucleares. Por la inflamación se produjo un avance de la mucosa del exocérvix, epitelio escamoso, hacia el endocérvix, esto bloquea los conductos excretores de las glándulas endocervicales y sufren dilatación quística (quistes de Naboth), es una metaplasma escamosa a partir de las células de reserva de la zona de transformación. Hay úlceras mucosas.
Complicaciones: se puede producir estenosis del orificio cervical, lo que puede generar infertilidad.


TUMORES

BENIGNOS
Pólipos endocervicales:
Son tumoraciones inflamatorias frecuentes. Pueden asociarse a cervicitis crónica. Aparecen entre los 40 y 50 años.
Nacen dentro del canal endocervical pueden sobresalir por el orificio externo.
Histología: estroma con glándulas endocervicales dilatadas.
Clínica: producen hemorragias anormales que pueden hacer sospechar un tumor maligno. Curan con extirpación.



MALIGNOS

Carcinoma de cuello uterino:

Patogenia: Los HPV con riesgo oncogénico alto son considerados el factor más importante por sí solos para la oncogenia cervical. El 16 y el 18 son los más importantes.
Las infecciones genitales por HPV son frecuentes, la mayoría de ellas no produce síntomas, no generan cambios titulares.
El HPV infecta las células basales inmaduras del epitelio escamoso en las áreas con roturas epiteliales, o las células escamosas metaplásicas inmaduras presentes en la unión escamocilíndrica.
Aunque el virus sólo puede infectar las células escamosas inmaduras, la replicación ocurre en las células escamosas maduras y conducen a un efecto citopático, la “atipía coilocítica”, consistente en atipía nuclear y un halo perinuclear citoplasmático.

Lesiones precancerosas:

Displasia/Carcinoma in situ     CIN              SIL
Displasia leve                        CIN I            SIL de bajo grado
Displasia moderada                CIN II          SIL de grado alto
Displasia grave                      CIN III         SIL de grado alto
Carcinoma in situ                   CIN IV         SIL de grado alto

Morfología: El diagnóstico de SIL se basa en la identificación de atipía nuclear caracterizada por agrandamiento nuclear, hipercromasia, presencia de gránulos de cromatina groseros y variación del tamaño y forma de los núcleos. Los cambios nucleares se pueden acompañar de halos citoplasmáticos que indican alteración del citoesqueleto antes de la liberación del virus hacia el medio ambiente.



Carcinoma cervical:
El carcinoma epidermoide o escamoso es el tipo más común de cáncer cervical y representa aproximadamente el 80% de los casos. El segundo tipo más común es el adenocarcinoma cervical.
Todos los tipos de tumores están causados por HPV de alto riesgo.

Morfología:
Se puede manifestar como un tumor fungoso (exofítico) o infiltrante.
Están constituidos por nidos y lengüetas de epitelio escamoso maligno, queratinizante o no queratinizante, que infiltran el estroma cervical subyacente.
Los adenocarcinomas se caracterizan por una proliferación de epitelio glandular.
El carcinoma cervical avanzado crece por extensión directa para afectar a los tejidos contiguos. También se afectan los ganglios linfáticos locales y distales. Las metástasis a distancia se pueden encontrar en hígado, pulmones, medula ósea.
Se clasifica en los siguientes estadios:
Estadio 0: carcinoma in situ
Estadio I: carcinoma limitado a cervix.
              Ia: preclínico, diagnosticado solo por microscopía.
              Ia1: carcinoma microinvasivo (invade el estroma no mas de 3 mm de profundidad y no más de 7 mm a nivel horizontal).
              Ia2: Invade el estroma más de 3 mm, pero no más de 5 mm, y no más de 7 mm a nivel horizontal.
              Ib: Invasión que supera las medidas anteriores, pero limitado al cuello.
Estadio II: más allá del cuello. No alcanza la pared pélvica, afecta a vagina, pero respeta su tercio inferior.
Estadio III: se extendió a la pared pélvica. Afecta el tercio inferior de la vagina.
Estadio IV: metástasis a distancia.
Pronóstico:
0: 00%
I y II: 80%
III y IV: 20%




CUERPO Y ENDOMETRIO

ENDOMETRITIS

Endometritis aguda:
Es poco frecuente. Son producidas por bacterias como estafilococo y estreptococo, después de parto o aborto por retención de productos de la concepción.
Hay infiltrado de neutrófilos en el intersticio.
Se resuelve eliminando por legrado los fragmentos retenidos.

Endometritis crónica:
Causas:
1)    EPI
2)    Retención crónica de los productos de la concepción.
3)    Uso de DIU.
4)    TBC miliar o a partir de una salpingitis TBC.
5)    Inespecífica: aunque se sospecha de chlamydia.
El infiltrado inflamatorio es de mononucleares con la presencia de células plasmáticas.
Clínica: dolor, exudación, hemorragias anormales.


ADENOMIOSIS
Presencia de nidos de endometrio en el miometrio.

Causa desconocida, sería por un crecimiento anormal descendente. Para el diagnóstico estos nidos deben estar 2 o 3 mm debajo de la capa basal del endometrio.

Macroscopía: engrosan la pared del útero, parecen pequeños quistes múltiples.

Clínica: producen dolor pélvico, dolores menstruales intensos. Esos focos también menstruan.



ENDOMETRIOSIS
Presencia de glándulas o estroma endometrial en localizaciones anormales, fuera del útero.
Se da entre los 30 y 40 años.
Las células del estroma endometrial presentan aromatasas (no es normal endometrio) y producen estrógenos que aumentan la sobrevida del tejido endometriósico. La PGE2 estimula la síntesis. Hay resistencia a la progesterona en el tejido endometriósico.

Las localizaciones más frecuentes son:
1)    Ovarios
2)    Ligamentos uterinos
3)    Tabique recto vaginal
4)    Peritoneo
5)    Cicatrices de laparotomía
6)    Localizaciones raras: ombligo, vulva, nariz, ganglios, pulmón.

Patogenia: existen tres teorías.
1)    Teoría de la regurgitación: durante la menstruación podría regurgitar el endometrio por las trompas y se podría implantar en diversos puntos.
2)    Teoría metaplásica: sería una metaplasia a partir del epitelio celómico.
3)    Teoría de la diseminación linfo-hemática: intenta explicar localizaciones anormales como en ganglios, pulmón, etc.

Morfología: los focos responden a influencia hormonales por lo tanto menstruan.
Se ven como nódulos rojizos, en ovario producen quistes de chocolate, porque están llenos de restos de sangre de color marrón y miden hasta 5 cm.
Para el diagnóstico histológico es necesario detectar al menos dos de los siguientes tres elementos: glándulas endometriales, estroma, hemosiderina.




Clínica: producen dolor pélvico y menstrual.

Complicaciones:
1)    Esterilidad, por la destrucción de ovarios o la obstrucción de las trompas.
2)    Dolor al defecar, por afectación de la pared rectal.
3)    Disuria, por afectación de la vejiga.
4)    Puede desarrollarse cáncer en la lesión endometriósica.


TRASTORNOS FUNCIONALES ENDOMETRIALES
Se presentan como hemorragias uterinas anormales, pueden ser excesivas durante la menstruación o aparecer períodos menstruales. No hay lesiones orgánicas en el útero.

CICLO ANOVULATORIO:
Es el más frecuente. Hay un estímulo estrogénico excesivo, concentración de progesterona nula, porque no se produce la fase progestacional. Habría desequilibrios hormonales sutiles (falta el pico de LH) y aparecen más frecuentemente en la meniarquía y en la perimenopausia.
El folículo de Graaf no se rompe, por lo tanto no hay ovulación, y el endometrio muestra glándulas rectilíneas sin signos de actividad secretora. Altera el período el cual se puede retrasar.

INSUFICIENCIA DEL CUERPO LÚTEO:
Concentración de progesterona pobre. El pico de LH se produce pero es bajo, entonces hay ovulación pero el cuerpo lúteo es deficiente, hay producción de progesterona pero en forma escasa. Las glándulas endometriales muestran secreción.
Clínica: infertilidad, y pueden tener hemorragias muy intensas o amenorrea.

CAMBIOS ENDOMETRIALES INDUCIDOS POR ACO:
Hay discordancia entre las glándulas y el estroma. Las glándulas están inactivas, mientras que el estroma parece más activo con células grandes con citoplasma abundante. Estos cambios se revierten con la suspensión del tratamiento. Es raro con los ACO actuales.

CAMBIOS MENOPÁUSICOS Y POSMENOPÁUSICOS:
Hay dilatación quística de las glándulas, pero el epitelio y el estroma se atrofian (atrofia quística).


HIPERPLASIA ENDOMETRIAL O NEOPLASIA INTRAEPITELIAL ENDOMETRIAL
Existe estimulación estrogénica excesiva con una concentración de progesterona baja o nula. Por eso es más frecuente alrededor de la menopausia o asociada a ciclos anovulatorios.
Las causas que la producen son:
1)    Enfermedad poliquística del ovario.
2)    Tumores de ovario productores de estrógenos.
3)    Tratamiento sustitutivo con estrógenos.

Patogenia: inactivación del supresor tumoral PTEN, lo que permitiría que los estrógenos provoquen crecimiento excesivo.

Morfología:

- HIPERPLASIA SIMPLE SIN ATIPÍA o quística leve:
Se observan glándulas dilatadas en forma quística, el epitelio es cilíndrico de aspecto normal y puede tener varias capas de revestimiento glandular. Generalmente con el tiempo evolucionan a atrofia quística. La posibilidad de transformación maligna en un carcinoma es menor al 1%.



- HIPERPLASIA SIMPLE CON ATIPÍA:
Rara, semejante a la anterior pero con desorden y atipía. El riesgo de transformación es del 8%.



- HIPERPLASIA COMPLEJA SIN ATIPÍA o adenomatosa:
Rara, la mucosa endometrial está engrosada, está aumentado el tamaño y el número de glándulas, con pleomorfismo glandular. De las glándulas parten yemas de epitelio hacia el estroma y papilas hacia el interior glandular. Hay atipía. El riesgo de trasformación es menor al 5%.

- HIPERPLASIA ATIPÍCA:
Hay intenso apiñamiento glandular, están muy apretadas entre sí, casi en contacto. Hay atipía celular, aumento de mitosis, hipercromacia. Pérdida del gen PTEN. Es semejante al carcinoma pero sin invasión del miometrio. El riesgo de transformación es de un 25%.




Clinica: se presentan como hemorragias anormales, su importancia es que son lesiones precancerosas. Tratamiento con progestina o histerectomía.

TUMORES DE ENDOMETRIO

BENIGNOS

Polipos endometriales:
Son masas sésiles o pediculadas que sobresalen hacia la cavidad endometrial, pueden ser únicos o múltiples.
Pueden ser de dos tipos:
1)    compuestos por endometrio normal
2)    asociados a la hiperplasia endometrial simple o quística.
Son más frecuentes en la perimenopausia.
En algunos casos puede haber asociación con tamoxifeno (droga antiestrogénica para cáncer de mama).
Pueden provocar hemorragias.

MALIGNOS

Carcinoma endometrial
Es el cáncer invasivo más frecuente en el aparato genital femenino. Aparece después de la menopausia.

Existen dos tipos:

- CARCINOMA TIPO I:
Es el 85%, tipo endometroide. Es más frecuente entre los 55 y 65 años.
Hay inactivación del gen PTEN.
Generalmente no diseminan a peritoneo.

Predisponentes:
1)    Obesidad
2)    DBT
3)    HTA
4)    Esterilidad (multíparas)

En relación con los estrógenos: pueden provenir de hiperplasias previas, por tumores funcionantes de ovario, por tratamiento sustitutivo, o tienen obesidad.

Morfología: puede ser polipoide o difuso.

Evolución: rellenan la cavidad uterina, invaden miometrio, estructuras adyacentes, luego disemina a ganglios aórticos, ilíacos, por vía hemática a hígado, pulmón y hueso.

Histología: adenocarcinomas 85%. Forman glándulas revestidas por células cilíndricas atípicas. Se dividen en tres grados
- GRADO I: bien diferenciados, se reconocen glándulas bien formadas.
- GRADO II: moderadamente diferenciados, mezclan glándulas con áreas sólidas.
- GRADO III: mal diferenciados, sólido, no forma glándulas, tiene mayor anaplasia.



- CARCINOMA TIPO II: tipos serosos y más raros células claras. No se relaciona con los estrógenos, se da en personas ancianas. Son peor diferenciados y de peor pronóstico.
Mutación del P53, la proteína se acumula pero es inactiva.
Diseminan a peritoneo.
El precursor es el carcinoma intraepitelial endometrial que surge de endometrio superficial atrófico.

Morofología: carcinomas serosos papilares y carcinomas de células claras: se asemejan a los carcinomas serosos de ovario. Son de grado III, son los más agresivos.

Evolución: semejante al tipo I, pero es más agresivo y por vía tubárica disemina a peritoneo.

Clínica: hemorragias irregulares con leucorrea.
Tratamiento: cirugía y radioterapia.



TUMORES DEL ESTROMA DE ENDOMETRIO

- CARCINOSARCOMA (TUMOR MIXTO DE MÜLLER)
Se da en posmenopáusicas.
Son adenocarcinomas endometriales con diferenciación estromal maligna.
Son mixtos porque tienen elementos epiteliales glandulares y elementos mesenquimales, los cuales provienen del estroma, pero éste produce músculo liso, cartílago, hueso. Todos los elementos son de origen mesodérmico.
Son muy voluminosos, pueden protruir por vagina.
Diseminan como los adenocarcinomas.



Clínica: hemorragias anormales.

Sobrevida: a los 5 años el 25%.

- ADENOSARCOMAS:
Se dan entre los 40 y 50 años. Son de bajo grado de malignidad.
Son lesiones polipoides endometriales de gran tamaños compuestas por estroma de aspecto maligno junto a glándulas endometriales benignas pero de formas anormales.
Son sensibles a los estrógenos.

- SARCOMA DEL ESTROMA ENDOMETRIAL:
Raro, masas carnosas que invaden miometrio y sobresalen en la cavidad uterina.
Sobrevida: a los 5 años, 50%.


TUMORES DEL MIOMETRIO

- LEIOMIOMA:
Tumor benigno del músculo liso, es el mal llamado fibroma.
Se da entre los 30 y 40 años. Son los tumores más frecuentes en la mujer.
En su patogenia intervienen los estrógenos, ya que aumenta de tamaño en el embarazo y disminuye al llegar a la menopausia.

Morfología: son redondeados, de color blanco grisáceo. Están bien delimitados, carecen de cápsula. Su tamaño es variable, pueden ser pequeños nódulos, o pueden ocupar toda la pelvis.
Nacen en el miometrio, si permanecen en él se denominan intramurales, si crecen en dirección al endometrio y protruyen hacia la cavidad se llaman submucosos, si crecen hacia la serosa, se llaman subserosos.

Histología: al corte tienen patrón arremolinado, remedan a las células musculares lisas, sus núcleos son ovalados y las mitosis escasas.



Clínica: los submucosos pueden provocar intensas hemorragias durante la menstruación y como crecen durante el embarazo pueden producir abortos o deformidades. Los subserosos pueden comprimir vedija (disuria y poliaquiuria). No experimentan transformación maligna.

- LEIOMIOSARCOMA:
Son raros, surgen de novo en el miometrio.
Tienen 2 patrones: 1) forma difusa. 2) forma polipoide.
Ambas alcanzan grandes tamaños.



Histología: se diferencian del leiomioma por:
1)    más de 10 mitosis por 10 campos de gran aumento.
2)    5 a 10 mitosis por 10 campos de gran aumento con atipía.



Clínica: se dan en posmenopáusicas, metastatizan a pulmón, hueso, cerebro.
Sobrevida: a los 5 años, 40%.


TROMPAS DE FALOPIO

SALPINGITIS:
Pueden obstruir las trompas generando infertilidad.

- Salpingitis aguda: se da en el curso de una EPI.

- Salpingitis crónica: por TBC, llega por diseminación miliar.

HIDATIDE DE MORGAGNI:
Quistes tubáricos mayores de 2 cm., serosos, transparentes. Son restos del conducto de Müller. Sin importancia. Si son más pequeños se llaman quistes paratubáricos.

ADENOCARCINOMA:
Puede asociarse a mutación de BRCA.


OVARIO

QUISTES

- FOLICULARES:
Miden hasta 2 cm., poseen líquido seroso y están revestidos de una membrana gris brillante. Son folículos de Graaf que no se han roto.

Histología: están revestidos por las células de la granulosa, pero el líquido acumulado las atrofia, es así como dejan de crecer.

Complicaciones: dolor pélvico, y si son múltiples puede producir hipertecosis con excesiva producción de estrógenos o andrógenos.

- LUTEINICOS:
Son menos frecuentes que los anteriores. Miden hasta 3 cm., y están revestidos por una membrana amarilla. Se forman al cerrarse rápidamente un cuerpo hemorrágico, no permitiendo el ingreso de sangre, y reteniendo el líquido.
Complicación: si son múltiples, hipertecosis.






S. DE STEIN-LEVENTHAL:
Los ovarios están cargados de quistes foliculares, pero producen andrógenos en forma excesiva y posiblemente no se produce un adecuado pico de LH, esto explicaría la formación de los quistes, la infertilidad y la amenorrea; mientras que los andrógenos explicarían el hirsutismo.
También se propone como factor patogénico la resistencia a la insulina, ya que al tratarla, a veces se reanuda la ovulación.

HIPERTECOSIS DEL ESTROMA:
Es una hiperplasia bilateral del estroma que se puede dar en posmenopáusicas, pero también se puede asociar a la Enfermedad Poliquística del ovario.
Consiste en aumento de tamaño del ovario (hasta 7 cm.).
Puede dar virilización.

TUMORES

Predisponentes:
1)    Nuliparidad.
2)    Disgenesia gonadal.
3)    Factores hereditarios: en relación a BRCA 1 y BRCA 2.

- DERIVADOS DEL EPITELIO CELÓMICO:
Surgen a partir de restos, como los quistes de inclusión de la cortical, los cuales derivan a partir del mesotelio que recubre al ovario. Otro origen puede ser a partir de endometriosis.

- TUMORES SEROSOS (30%):
Son los tumores más frecuentes de ovario.
El epitelio de origen celómico da origen al epitelio mülleriano y este aquí remeda al epitelio de las trompas (células cilíndricas serosas). Son quísticos.
Pueden ser benignos o cistoadenomas serosos, intermedios o Bordeline y malignos o cistoadenocarcinomas serosos.
La relación B/M es 3/1.

Macroscopía:
Los benignos miden menos de 10 cm., al corte son uniloculares, no tienen papilas microscópicamente visibles (se pueden encontrar cuerpos de Psamoma), el contenido del líquido es seroso.
Los malignos miden más de 10 cm., al corte son multiloculados, con papilas visibles y áreas sólidas.





Histología:
Los benignos tienen una sola capa de epitelio de revestimiento, las células son semejantes a las normales, no hay atipía, mitosis escasas, no infiltran.
Los malignos se dividen en dos grupos:
-         Carcinomas de bajo grado: tienen varias capas de epitelio de revestimiento del quiste, hay bajo grado de atipía, las mitosis son altas, infiltran la pared del quiste y pueden surgir a partir de un intermedio. Mutación de RAS.
-         Carcinomas de alto grado: tienen varias capas de epitelio de revestimiento del quiste, hay alto grado de atipía, las mitosis son altas, infiltran la pared del quiste. Nacen de novo, mutación de P53.
Los bordeline tienen varias capas de epitelio de revestimiento del quiste, hay bajo grado de atipía, bajas mitosis y no hay invasión del estroma. Se pueden transformar en malignos de bajo grado.



Sobrevida:
Malignos: a los 10 años 15%, tienden a ser bilaterales en el 65% de los casos y son los que más relación tienen con los BRCA y son los malignos más frecuentes de ovario e invaden con rapidez.
Bordeline: a los 10 años 95%, 70% pueden no invadir o hacerlo lentamente.

- TUMORES MUCINOSOS (20%):
Remendan el epitelio endocervical o también al intestinal. Son todos quísticos.
Pueden ser: B, bordeline y M. La relación B/M es de 7/1.
Las células son cilíndricas secretoras de mucina y rellenan los quistes.
Son los tumores más grandes de ovario, existen casos de hasta más de 25 Kg. Son multiloculados.
El cistoadenocarcinoma mucinoso puede producir seudomixoma peritoneal, pero generalmente tiene origen en el apéndice.
Predisponente: tabaco.
Existe mutación de RAS.
Sobrevida:
Bordeline a los 10 años 95%.
Malignos a los 10 años 60%.




- TUMORES ENDOMETRIOIDES (20%):
Remdedan el revestimiento de las glándulas endometriales, si están bien diferenciados forman glándulas.
Pueden ser B, bordeline o M, pero la mayoría son malignos.
Pueden ser quísticos o sólidos.
Los malignos suelen ser bilaterales en el 40% de los casos.
En algunos casos se asocian a endometriosis.
Hay mutación de PTEN, mientras que en los indiferenciados muta P53.
Sobrevida: a los 5 años 45%.

- ADENOCARCINOMA DE CÉLULAS CLARAS:
Raro, grandes células epiteliales con citoplasma claro, semejante al carcinoma de células claras del endometrio. Puede ser sólido o quístico.
Suele ser agresivo, si diseminan más allá del ovario no sobreviven más de 5 años.
Son bilaterales en el 40% de los casos.

- CISTOADENOFIBROMA:
Son quísticos, pequeños y multiloculados con papilas. El epitelio puede ser seroso, mucinoso o endometrioide, pero por debajo del mismo hay una gran proliferación fibrosa.

- TUMOR DE BRENNER:
Raro, está formado por estroma fibroso compacto con nidos de células de transición. El tamaño es variable, de 1 a 30 cm. La mayoría son benignos pero también hay bordeline y malignos.
Las células del estroma pueden a veces producir estrógenos.




Clínica de dichos tumores:
Producen dolor en la porción inferior del abdomen, sensación de peso, aumento del volumen abdominal, poliaquiria, disuria por la presión. Pueden provocar torsión del ovario determinando un abdomen agudo. Los benignos curan con extirpación. Los malignos producen disminución de peso, se extienden al peritoneo (provocando ascitis y el líquido peritoneal muestra células malignas), luego diseminan a ganglios regionales y por vía hemática a hígado, pulmón y hueso, por la línea media del ovario contralateral.
Generalmente cuando dan síntomas ya han diseminado.
Marcador tumoral: CA-125 que se eleva en los carcinomas serosos y endometrioides.
Prevención: los ACO y la ligadura de trompas reducen el riesgo. Oorofectomía para pacientes con mutaciones de BRCA.

- TERATOMA BENIGNO O MADURO:
Constituye el 95% de los tumores de este grupo. Se da en mujeres jóvenes.
Son quísticos, uniloculados, también se los llama dermoides porque están cubiertos de una pared formada por pelos, secreción sebácea, piel.
La pared contiene elementos de las 3 capas germinativas todos maduros y con disposición organoide (dientes, uñas, tejido nervioso, tiroides, hueso cartílago, etc.)
Las células poseen cariotipo 46 XX.
En el 1% sufren transformación maligna generalmente a carcinoma epidermoide.




- TERATOMA MALIGNO O INMADURO:
Se dan en mujeres jóvenes. Son sólidos, con áreas de necrosis y hemorragias, mismos elementos que el anterior pero sin disposición organoide y los tejidos son poco diferenciados.
A mayor inmadurez y a mayor presencia de contenido nervioso, peor pronóstico.



- TERATOMA MONODERMICO O ESPECIALIZADO:
Muy raro. Son tres:
1)    Estruma ovárico: solo está compuesto por tejido tiroideo maduro, puede provocar hipertiroidismo.
2)    Carcinoide ovárico: podría nacer en un foco de intestino de un teratoma. Produce serotonina, podría dar dar s. carcinoide.
3)    Estruma carcinoide: mezcla de los dos anteriores.
Son unilaterales lo que permite diferenciarlos de las metástasis.

- DISGERMINOMA:
Equivalente al seminoma de testículo, misma morfología, evolución y pronóstico. Es el maligno más frecuente de los germinales.



- GONADOBLASTOMA:
Excepcional. Se asocia a S. de Turner. Mezcla de células germinales con derivadas del estroma y los cordones.

- TUMOR DE CÉLULAS DE LA GRANULOSA:
En posmenopáusicas. Forman folículos abortivos, que pueden contener una secreción interna, son los cuerpos de CALL-EXNER, que imitan al ovocito. Si son puros no producen hormonas, pero frecuentemente se asocian a células tecales y producen estrógenos.
Generalmente son benignos, pero algunos pueden malignizar.
Como marcador tumoral se podría expresar un producto ovárico: la inhibina.

- TECOMAS:
En posmenopáusicas. Son macizos, generalmente benignos. Presentan células semejantes a las tecales (fusiformes, cargadas de lípidos).
Es productor de estrógeno.
Producen: S. de rejuvenecimiento, pero predisponen a la hiperplasia endometrial, carcinoma endometrial, cáncer de mama.
Es raro que sean puros, se asocian a la células de la granulosa o a los fibromas.

- FIBROMAS:
Si son puros no producen hormonas, si se asocian a células tecales sí. Nacen del estroma del ovario. Miden de 5 a 10 cm. Si miden más de 6 cm. se asocian a S. de Meigs (ascitis, hidrtórax del lado derecho y fibroma).




- ANDROBLASTOMA:
En jóvenes, hay producción aumentada de andrógenos, provoca virilización.
Es el análogo de T. de células de Leydig y Sertoli.





- GINANDROBLASTOMA:
Combinación de células funcionantes productoras de estrógenos y andrógenos.